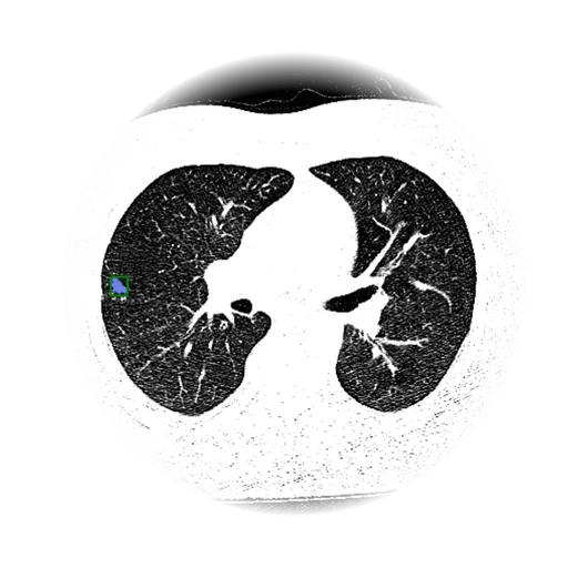
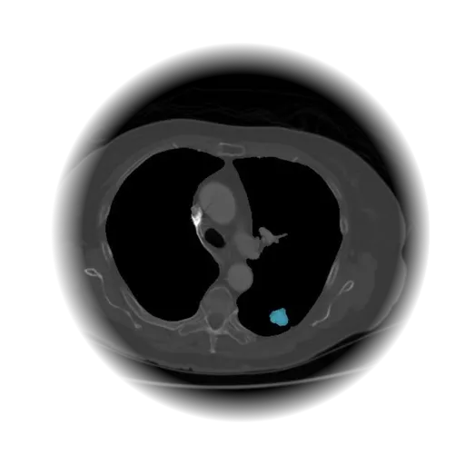
Lung Nodule Detection and Tracing Across Scans
Obvios.ai utilizes cutting-edge artificial intelligence to meticulously detect and track lung nodules, facilitating swift and precise diagnostics, thereby ensuring superior care and timely intervention for patients.













